Are You Mini Smile Makeover Course Ready?

Mini Smile Makeover

Mini Smile Makeover
£1,499.00

Mini Smile Makeover

Take your skills in aesthetic dentistry to the next level

This 5-star Anterior Composite Mastery Course aims to equip dentists with both theoretical knowledge and practical techniques to achieve natural-looking and aesthetically pleasing anterior composite makeovers.

This course caters to individuals at every skill level

With years of clinical and teaching experience, get ready to learn from exceptional speakers and a team of instructors

Dipesh Parmar

Lead Tutor

One of the most in demand speakers on minimally invasive aesthetics on the global lecture circuit, Dipesh’s teaching style is direct and highly approachable. He has held a clinical lecturer post at Birmingham Dental School and has won numerous awards, including Best Aesthetic dentist UK 2018. He is on the faculty of the Dawson Academy UK and at the Chicago Center for Esthetic Excellence. Dipesh practices in Birmingham, UK.

Course Outcomes

By attending the course, delegates will learn:

  • Composite veneer

  • Diastema closure

  • Peg shaped lateral build up

  • Edge bonding

  • Mini smile design

  • Photography settings and protocols

  • Shade predictability

  • Occlusal stability

  • Contact points

  • When, where and why to use opaquers and tints

  • High gloss finishing and polishing

  • Marketing and fee-setting

  • Bonding after orthodontics and

  • bleaching

  • Basic and advanced layering

  • Lingual and incisal edge form

  • Rapid isolation

Mini Smile Makeover
£1,499.00

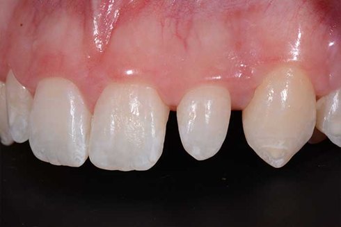
Before

After

Course Structure

The course is split over Friday and Saturday.

This includes:

  • 5 lectures from top speakers

  • 3 hands-on sessions with easy-to-follow protocols, and step-by-step guidance with one-on-one support from a team of experienced instructors.

  • Plus, a party on Friday to socialize and connect with dentists and the MSM team and to recharge for the next day.

Mini Smile Makeover
£1,499.00

Meet the Instructors

What delegates say

Mini Smile Makeover
£1,499.00