Composite Bonding In General Dental Practice

A SIMPLIFIED APPROACH TO ACHIEVING AMAZING COSMETIC RESULTS

What you will learn?

  • Understand the three-dimensional nature of composite bonding.

  • Tooth shapes, tooth proportions and smile symmetry.

  • Create beautiful line angles, how to place subtle secondary anatomy

  • When and how to use tertiary anatomy to achieve stunning surface texture.

This is a course about treating smiles, not single teeth.

Composite Veneers In General Dental Practice
£750.00

Course fee is £1500 inc. VAT

£750 payable at time of registration

£750 payable 45 days prior to commencement of course

Next availabe Dates: 12th and 13th of September 

Location: ETC Venues Marble Arch, 86 Edgeware Road, London W2 2EA

DAY ONE:

MORNING

• 8.30-9.00am registration

• Smile design, equipment, materials

• My philosophy on bonding in general practice

• Bonding, shaping and polishing protocols

• Live central incisor demo

• Single central incisor hands-on

AFTERNOON

Creating a perfect pair of central incisors hands-on

DAY TWO:

MORNING

• 9am start

• Lateral incisor lecture

• Live lateral incisor demo

• Creating a perfect pair of lateral incisors hands-on

AFTERNOON

• Canine lecture

• Live canine demo

• Creating a perfect pair of canines hands-on

• Developing your own signature style

• Photography tips

• Repairs, alterations and maintenance

• Prizegiving and drinks

Course ends at 5.00pm.

Composite Veneers In General Dental Practice
£750.00

Course fee is £1500 inc. VAT

£750 payable at time of registration

£750 payable 45 days prior to commencement of course

Next availabe Dates: 12th and 13th of September 

Location: ETC Venues Marble Arch, 86 Edgeware Road, London W2 2EA

Meet The Instructor

Delivered in my very own individual style, this is a course like no other, aimed squarely at developing the skills and knowledge to implement composite veneers into your daily practice. The Foundation Course delves heavily into understanding the three-dimensional nature of composite bonding and teaches delegates to appreciate the Important cornerstones of tooth shapes, tooth proportions and smile symmetry.

You’ll also learn how to create beautiful line angles, how to place subtle secondary anatomy and when and how to use tertiary anatomy to achieve stunning surface texture.

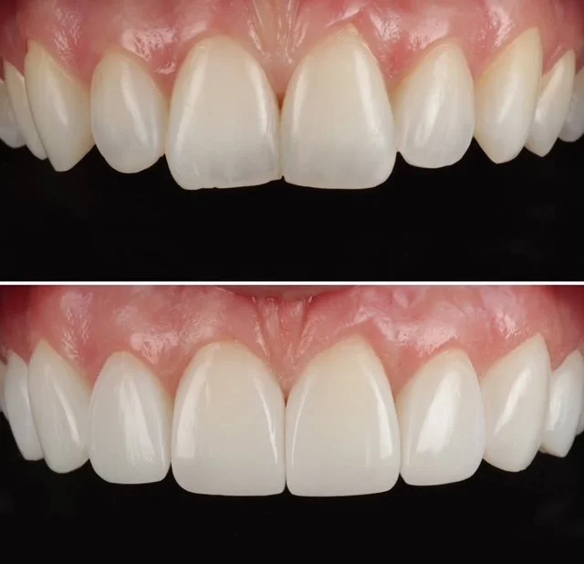
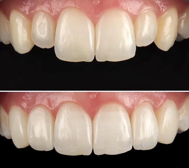
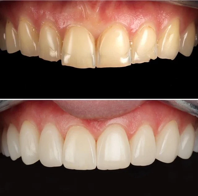
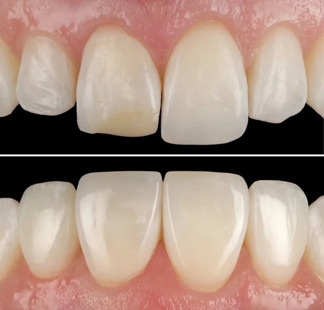
This is a course about treating smiles, not single teeth. The vast majority of cases I treat in practice are upper 3-3 cases and participants will leave having completed a full canine-to-canine case and learn to appreciate how to finish each individual tooth to integrate it as part of a full smile.

Composite bonding is not easy. The techniques taught are the very same ones used by me in my daily practice. They have been specifically developed and proven over time to ensure that the bonding process is a simple as it can be using the absolute minimum of equipment and materials.

Through having treated thousands of patients with bonding I have observed that more than 95% of patients are looking for virtually the same thing. Everything taught on this course is about predictably gearing your treatments to satisfy not small niches, but this very large portion of your patient base.

I plan for this course to be an intimate experience for delegates, so I’m keeping the groups smaller than other courses. I want you to leave feeling that you’ve had a very positive experience with plenty of one-to-one time, lots of support and guidance and more hands-on than ever. The curriculum for the course is also deliberately small, meaning that the important aspects of bonding are covered thoroughly rather than being skimmed over quickly in order to theoretically cover more topics.

I graduated in 1997 and have worked 5 days per week in full time general practice ever since. With well over the ten thousand composite veneers placed, I can confidently say that there wouldn’t be many dentists in the UK that have placed more composite bonding than me over the last decade.

I have been around the sun a few times and through trial and error have found out what works and what doesn’t. This is a course for real world practitioners!

I believe in simplicity and a no-nonsense approach to dentistry with an emphasis on doing things right first time.

My techniques are guaranteed to deliver excellent, long-lasting aesthetic results with increased patient satisfaction, greater professional fulfilment for you and ultimately an improvement in your hourly rates!

I am confident that you’ll develop a new-found passion for composite bonding that will change the way you practice forever!

I very much look forward to meeting you.

- Dr Pete Niesiolowski

What’s Included:

  • ALL materials and equipment for theoretical and hands on sessions

  • ALL food, drink and refreshments

  • Course handbook

  • Certificate of attendance

  • Future support and advice through WhatsApp group

  • 16 hours of verifiable CPD

  • WHAT TO BRING: Loupes

  • CANCELLATION POLICY

    Full refund of all fees paid, including the full registration fee, will be given if cancellation is communicated in writing

    within 45 days of the first day of the course. If cancellation is less than 45 days from the commencement of the

    course, course fees paid will be refunded, but the deposit will be retained. Cancellation within 30 days incurs loss of

    all fees. Subject to availability, a delegate may request being moved to a course on a later date with payment of a

    new deposit of £750.

    We reserve the right to cancel the enrolment of any delegate when payment has not been made within the agreed

    timeframes.

Composite Veneers In General Dental Practice
£750.00

Course fee is £1500 inc. VAT

£750 payable at time of registration

£750 payable 45 days prior to commencement of course

Next availabe Dates: 12th and 13th of September 

Location: ETC Venues Marble Arch, 86 Edgeware Road, London W2 2EA

What delegates say